14yo girl for a long time epigastric pain like gastric syndrome.
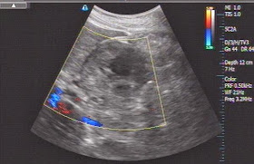
But ultrasound detected one round mass of 4 cm at the head of pancreas,
without dilated CBD or Wirsung duct. CDI no detection vascular intratumor and
echostructure was inhomogeneous (see 3 US pictures).
MSCT with CE showed this mass well
bordered at the head of pancreas, slow enhancement of contrast.
Blood tests no abnormal.
Based on clinical status and ultrasound and MSCT imaging, what is your suggestion of diagnosis and what
is your plan for treatment ?
Discussion: young girl with chronic pain.
US and MSCT cannot make sure diagnosis.
Operation for biopsy this tumor; the tumor is fixed to deep structure, thickening of the wall.After opening the wall, the black fluid came out and red blood following. Biopsy the wall of this tumor and one lymph node nearby.









No comments:
Post a Comment