VIETNAMESE MEDIC ULTRASOUND

Thursday, 27 March 2025

CASE 820-821: PRIMARY THYROID LYMPHOMA (PTL): Dr PHAN THANH HẢI, Dr NGUYỄN TUẤN CƯỜNG , MEDIC MEDICAL CENTER, HCMC, VIETNAM.

›
 CASE 1 :  A 40 year-old woman with fatigue, dysphagia and rapidly growing goiter but non weight  last month. She got goiter during 10 years...
Friday, 14 March 2025

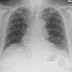
CASE 819: LEFT CHEST PAIN and LUNG POCUS, Dr PHAN THANH HẢI, Dr LÊ THỊ THANH THẢO, MEDIC MEDICAL CENTER, HCMC, VIETNAM.

›
A 67 year-old man with left chest pain progressing for 3 days, coughing and no fever. Lab data nothing abnormal detected.  EKG  sinus arrhyt...
Thursday, 13 March 2025

CASE 818: BREAST TB LUMP, Dr PHAN THANH HẢI, Dr LÂM CẨM THÙY, MEDIC MEDICAL CENTER, HCMC, VIETNAM

›
 A 28 year-old woman with fever and pain at her left breast for one week. Ultrasound detected  a  #12x6.6 mm well-border mass  at 3h o'c...

CASE 817: BOWEL VOLVULUS due to MESENTERIC LYMPHATIC TUMOR, Dr PHAN THANH HẢI, Dr TRẦN NGÂN CHÂU, MEDIC MEDICAL CENTER, HCMC, VIETNAM.

›
 A 15 year-old asthenic thin boy with crisii of nausea and colicky pain during ( 3 ? ) years. Failed in management of gastritis HP infected....

CASE 816 : PROSTATE CANCER RISK and Low F/T PSA Ratio, Dr PHAN THANH HẢI, Dr NGUYỄN MINH THIỀN, MEDIC MEDICAL CENTER, HCMC, VIETNAM

›
A 62 year-old man with  low free/total PSA ratio < 10% which is in risk of prostate cancer. But ultrasound and MRI detected only calcific...
Tuesday, 11 March 2025

CASE 815: ACUTE CHOLECYSTITIS and CHOLECYSTILOSIS, Dr PHAN THANH HẢI, Dr LÊ THANH TÙNG, Dr VÕ THỊ PHƯƠNG TRINH, MEDIC MEDICAL CENTER, HCMC, VIETNAM.

›
A 78 year-old diabetic man with a colicky pain at RUQ  and nausea last night. Coughing during one month he has been managed antibiotics in t...
‹
›
Home
View web version

About Me

VIETNAMESE MEDIC ULTRASOUND DIAGNOSIS
View my complete profile
Powered by Blogger.