03 cases of SUBCLAVIAN ARTERY ANEURYSM [ 2 right, 1 left side] from 3 males 34-32-44 year-old revealed by chest X-Ray, vascular ultrasoud and MSCT. Patients complaint weakness upper limb, numbness and right chess pain or just only for a check-up without symptoms.
Chest X-Rays noted a blurred node close by the clavicle which could not differentiate from anterior mediastinal tumor or lung tumor. Vascular ultrasound could detect a yin-yang sign of a round mass with thrombus of the wall and MSCT could determine exactly the size, location, and reconstruct in 3D view.
CASE 01
Male patient 34 year-old for check-up. A 69 round mass was on the left clavicle. Yin-yang sign positive and thickening wall due to thrombus on ultrasound. The left brachial artery was intact.
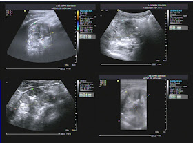
CASE 2
Male patient 34 year-old with cough and chest pain. The subclavian aneurysm size was # 49x52 mm with calcified its wall on chest X-ray. Thrombus of the aneurysmal wall on ultrasound and MSCT. Turbulent flow on Doppler vascular ultrasound.
CASE 3
Male patient 44 year-old weakness right upper limb, hoarseness and chest pain. The subclavian aneurysm was # 10×8 mm with turbulent flow, and thrombus filled up nearly the lumen. 3D view of MSCT reconstruction was not seen the aneurysmal lumen.
Surgery repaired the subclavian aneurysm with Y unigraft and the patient remains well. The aneurysm with its calcified contour was seen on the post-op chest X-ray.













































