US SCAN   
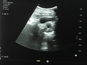
US 1:  ONE MASS  NEAR LEFT SITE OF  UMBILICUS  WITH  SANDWICH SIGN.
US 2: MANY LYMPH NODES HYPOECHOIC,  SIZE 2-3 CM  WITH STRUCTURE CHANGE AND NO HILUS.
US 3: SAME  STRUCTURE  OF LYMPH NODE IN MESENTERIUM.
US 4: 2 BIG LYMPH NODES AT THE LEFT SUPRACLAVICULAR AREA.
CHEST X-RAYS SUSPECTED TUBERCULOSIS AT RIGHT LUNG.
CT SCAN OF ABDOMEN WITH CE    
CT 1= FRONTAL VIEW OF ABDOMEN, THIS MASS IS  NEAR ABDOMINAL AORTA.
CT 2 = CROSSED SECTION.
CT 3  = FRONTAL VIEW OF THE LUNG 
BIOPSY REPORT OF THE BIG LYMPH NODE AT THE L NECK IS TUBERCULOSIS.
SUMMARY=  MULTIPLE LYMPH NODES APPEARED IN SAME TIME WITH LUNG TUBERCULOSIS.





















