Man
62 yo, one month after robotic prostatectomy by prostatic carcinoma
(PC)  stage I, pain in mictation.
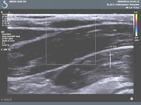
US scan at pubis detected
2 cystic masses  look like  double urinary bladder (US 1, transverse
scan ).
Report of sonologist
 is double urinary bladder.
MSCT with CE of
 urinary system= CT 1, CT 2 non CE showed  HU units  at  2 masses are
 different  15.8   and 10.2 UI.
Puncture of this cyst  for removing fluid which is yellowish. Results of analysis of  its contence : urea 
4.8mmol/L,
4.8mmol/L,
creatinine 0.0741mmol/L.
So it is lymphatic fluid. Now operation for drainage.
So it is lymphatic fluid. Now operation for drainage.
Conclusion:  it is lymphocele  post prostatectomy and lymphoadenectomy.





























































