Man 43 yo,  after a
great meal, his comments were vomitting  and epigastric pain.
Emergency abdomen ultrasound was nothing abnormal detected (NAD).
Standing chest abdomen X-rays showed that left lung pneumonia in suspicion (see chest X-ray film).
Emergency abdomen ultrasound was nothing abnormal detected (NAD).
Standing chest abdomen X-rays showed that left lung pneumonia in suspicion (see chest X-ray film).
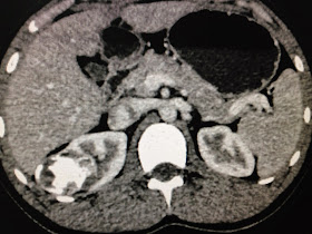
MSCT of chest-abdomen detected left diaphragm in rupture and the great omentum going up to the lung (see CT foto).
For make sure the colon was still in abdomen, Xray colon enema was done (see foto).
It was an emergency case with no history of trauma.
Laparo and thoracoendoscopy detected a big defected wound of posterior left diaphragm; great omentum going up to the lung.
It is BOCHDALEK HERNIA, need to suture for repairing left diaphragm (see foto).
REFERENCE: anatomy of diaphragm.
History about Bochdalek.























.jpg)
.jpg)




