Friday, 30 May 2014

CASE 258: MALIGNANT G I S T RECURRENCE, Dr PHAN THANH HẢI, MEDIC MEDICAL CENTER, HCMC, VIETNAM

Man 54 yo,  2 years after operation for  acute obstruction of small  bowel by  tumor of  intestine, unknown microscopic  report.
Now he had  pain in the pelvis. (photo of  the skin scar operation).


Ultrasound  report   was  multiple  nodules  in  pelvis  looked like  grappe fruit
adherence  over  urinary bladder wall (2 ultrasound pictures).



MSCT CE of abdomen  detected   multiple  intramesenteric round tumors looked like  lymph nodes.




All blood test  and cancer markers were  normal.

Open laparotomy removed the mass which were  multiple  round tumors  adherent  to  great omentum and pedunculated (see  macro1, 2).



Microscopic report this tumor is  malignant  GIST recurrence.



Monday, 26 May 2014

CASE 257: KNEE PAIN, Dr PHAN THANH HẢI, MEDIC MEDICAL CENTER, HCMC, VIETNAM

 Man 35 yo, 3 days ago, pain  at  right knee  cannot move, fever, no  history  of trauma. Clinical examination of right  knee:  hot and swelling at suprapatellar area (see photo).


Ultrasound first  scanned  at the right  knee, detecting  swelling of the  suprapatella recessus with homogeneous fluid  (2 ultrasound pictures).



MRI  of the  right knee  is  same   picture  report ( T1, T2).



Blood test  confirmed this infectious status  with  rising  WBC and  CRP.
For make sure  the  diagnosis: puncture of  the knee joint with  ultrasound guided..removing  the  yellowish  synovial fluid.
LAB analysis report  were  hight WBC and  negative gram stained bacteria  present in this fluid.


Diagnosis of  this case is acute  bacteria  infection of  the knee  joint, emergency  treated  with  antibotic and analgesic drugs.
DISCUSSION: in acute  case  ultrasound   guided  puncture of the  joint is fast action  for fast  diagnosis.

REFERENCE:



Friday, 23 May 2014

CASE 256: LIVER FUNGAL INFECTION in HIV-INFECTED PATIENT, Dr LÊ ĐÌNH VĨNH PHÚC, Dr VÕ NGUYỄN THÀNH NHÂN, MEDIC MEDICAL CENTER HCMC, VIETNAM

A 30 year-old married woman, suffered from weight loss, fatigue, not fever, not abdominal pain. She has scanned by abdominal ultrasound at a province hospital detecting multifocal lesions in liver. Her doctor thought her liver hemangioma.

At MEDIC center, ultrasound scanning detected multi-hyperechoic masses with regular border, no vascular proliferative, no around liver parenchyma edema, no necrosis fluid, size of 0.5 to 2cm in right and left lobe.





CT Scan of liver was done with many reduced density lesions in the right and left lobe. The lesions were slight contrast enhancement. Some lesions were higher than in the center area.






Blood test with WBC normal, transaminases slight increase, HBsAg negative, anti-HCV negative. The important noticeable result is that anti-HIV positive (ELISA).

The findings of ultrasound, CT Scan and blood test suggested liver fungal infection in HIV-infected patient. This patient was treated with anti-fungal drugs. Fungal infection is a common opportunistic disease in HIV-infected patient. Among the fungal opportunistic infections, Coccidioides immitis and Histoplasma capsulatum are those most likely to involve the liver [1]. Fungal liver abscess diagnosis remains a challenge for diagnostic imaging and clinical.

What is your suggestion of diagnosis?

References:
1.  Anthony S. Fauci; H. Clifford Lane (2010). “Human immunodeficiency virus disease: AIDS and related disorders”. Harrison’s infectious diseases. Mc Graw Hill. p. 847







Sunday, 18 May 2014

CASE 255: PERI-BREAST TUMOR, Dr PHAN THANH HẢI-Dr JASMINE THANH XUÂN, MEDIC MEDICAL CENTER, HCMC, VIETNAM



Woman 34yo, in palpation detected herself at RUEQ one mass suspected breast tumor.
Mammography confirmed one mass   with  macrocalcification.. at 1h  site of right  breast with dense tissue (see 2 mammo pictures).




Ultrasound  scanning  at  right  breast  detected  one  hypoechoic ellypsoid mass with size of  3cmx2cm  in major pectoralis muscle, Upon CDI  scan  this mass was  hypovascular, and elastoscan  was  hard tissue, no  axillary  lymph node ( see  ultrasound scan B mode, CDI, elasto).





What is your suggestion of diagnosis ?.



MRI of mammary glands  were  done, this  mass  was  retromammary,  inside  major pectoralis muscle  on right site. The  signal  suggestion was hemangioma (see 2 MRI pictures).




FNAC report was compatible with retromammary hemangioma.
  

Operation removed completly this mass; microscopic report  was  cavernous hemangioma.
 
REF case   pdf.
 

Thursday, 15 May 2014

CASE 254: CASTLEMAN DISEASE in COLONIC MESENTERY, Dr JASMINE THANH XUÂN, Dr PHAN THANH HẢI, MEDIC MEDICAL CENTER, HCMC, VIETNAM

A 22 yo female patient with a  mass of right abdomen which was detected by ultrasound check-up and thought to be a mesenteric tumor or a lymph node in mesentery. It was well-bordered and vascular structure without any symptom.
MSCT confirmed the 14x17mm mesenteric tumor in right abdomen with CE enhancement.


Open surgery removed the mass from posterior space of right colonic mesentery.

Microscopic result is a Castleman disease in mesentery,  which is an uncommon lymphoproliferative disorder that may be localized to a single lymph node (unicentric) or occur systemically (multicentric).


It was a  second case at Medic Center.
The first case of Castleman disease  was posted in 2010.
CASTLEMAN DISEASE in RETROPERITONEAL SPACE at MEDIC CENTER





Saturday, 10 May 2014

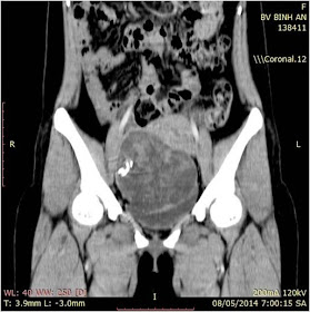
CASE 253: GOSSYPIBOMA (TEXTILOMA) POST CAESAREAN SECTION for a YEAR, Pham Hong Dong,M.D; Nguyen Duc Duy Linh,M.D; Phu Van Tuot,M.D; Nguyen Ngoc Xuan Giang,M.D., MEDIC Binh An Kien Giang Hospital


A 26 year-old female patient who had complained mild pain at her pubic region  presented lower abdominal pain a month prior. She  overwent a caesarean section a year ago for delivery her child.
Ultrasound findings:A cystic mass (about 83x46 mm) containing distinct internal hyperechoic wavy, striped structures.    



           
CT Scan abdomen: A mass of 11 x 9 cm with thicken enhancing walls was seen in pelvis.






But diagnosis of gossypiboma was made and at laparotomy: a surgical sponge (18x22 cm) with adjacent inflammatory tissue and pus were removed successfully.



          
DISCUSSION:
A diagnosis of gossipiboma pre-op seems to be very difficult that always need skill and experience. Because of  imaging findings of gossypiboma are nonspecific and complexe so the right diagnosis in pre-op is still acchived about 1/3 of cases in literature.
But whenever an unknown mass into abdomen with exist surgical scare that should dissolve it may be a gossypiboma or not.