Man 31 yo, one week ago complained  of epigastric pain and vomiting.
Clinical examination he had red skin on the right thorax and atrophied
muscles of right arm.
Emergent abdominal ultrasound scan showed  one mass of 4cm located near the head of
pancreas, at processus uncinatus which  compressed
duodenum..
(see 3 ultrasound pictures.. P1.color doppler at right subclavicule suspected A-V-M) , P4 .P5..crossed scan and longitudinal scan of this mass at the head of pancreas.)
(see 3 ultrasound pictures.. P1.color doppler at right subclavicule suspected A-V-M) , P4 .P5..crossed scan and longitudinal scan of this mass at the head of pancreas.)
Gastroendoscopy went down just to duodenum but nothing detected.
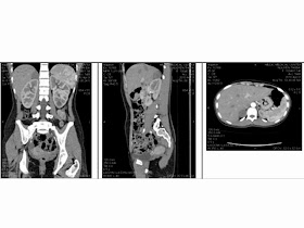
MSCT with CE: this mass was in retroperitoneum compressing duodenum
D2,
contrast injection was slowly enhancement , but it had air in the  mass ( see 4 CT  with CE pictures CT1, is angiogram of right
axillary artery, CT2. this mass with air inside, CT3, relation with right
kidney and aorta, CT4 vascular SMA and mass).
Blood tests were no abnormal. 
What is your suggestion for diagnosis ?.
Operation laparotomy for biopsy this tumor and bypass anatomosis ; this tumor was covered SMA then cannot remove.
Microscopy is fibrosis, no cancer cell detection.
Operation laparotomy for biopsy this tumor and bypass anatomosis ; this tumor was covered SMA then cannot remove.
Microscopy is fibrosis, no cancer cell detection.
It is a fibrosis mesenteric case.
Discussion: this 31 yo patient, vomitting at the clinical onset,
    due to 
obstruction  of upper  GI tract .
Ultrasound and  CT showed  the mass 
near  the processus uncinatus
of  pancreas  and   SMA
encasement .
Operation cannot 
remove  this tumor   because 
it  fixed  to superior 
mesenteric artery, biopsy  this
mass  with report   no cancer cell,only  fibrosis 
tissue suggesting a  pseudotumor like  mesenteric 
panniculatis. It is  rare
case   response with  corticoid 
treatment   or  with 
colchicine.
REFERENCE
case  of mesenteric panniculatis.
 




































 






