Man 31 yo 
onset fever one month ago but not control by antibiotics. Pain in
liver region.
Ultrasound 
detected  some round spots  like  liver abscesses.(US  B mode, CDI, Elasto).
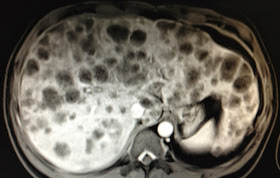
MRI  with 
gado CE detected  also  many 
round  spots,   same size of  2
cm, with central necrosis looked like metastasis.
Blood tests=   WBC
rising of 20k with 85% neutro, negative sero amibe, normal CEA.
Colonoscopy
for detection of primary cancer disclosed, at splenic angle of colon, infiltrated induration lesion which was suspected colon tumor .
 And
biopsy with microscopic report was colon cancer.
Summary; this case
is colon cancer metastases to liver.   
























