Undergoing of gastroendoscopy he was revealed a submucosa mass in the antrum which was confirmed  by CT; it was  a fluid-attenuation cystic mass in close  with the stomach wall but report of CT cannot rule out a heterotropic pancreas.
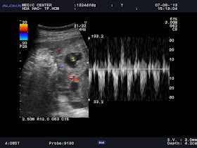
Ultrasound detected an 27x17mm intragastric cyst which adhered the greater curvature. The cyst wall had 2 layers: echogenic inner mucosal lining and hypoechoic outer rim which was contiguous with the muscular layer of the stomach. So we met a muscular rim sign of a  non-communicating GDC (gastric duplication cyst) in adult.
BD Hospital confirmed the non communicating GDC by filling defect on upper gastrointestinal series with barium meal and abdominal endoscopy exploration.
Wait for microscopic result.




























